On Jan 25th Mia Rose had another appointment with the surgeon when we were supposed to pick up her orthotics, but they had not arrived yet.
Her surgeon twisted, bent and poked at her foot even more intensely that two weeks before and again she had no pain at all (sat completely relaxed as he manipulated it), which elicited the remark “amazing” from him…he said it more to himself than to us, but clearly feeling so good and moving so well 10 weeks post surgery is not typical. He then told us we could schedule surgery to remove the screws in 2-3 weeks. We scheduled that for February 16th (exactly 13 weeks after the initial ORIF surgery).
On January 26th her surgeon’s assistant was very kind to bring her orthotics to us, since he lives in our area while the surgeon’s office is nearly an hour from our house. He put the orthotics in her sneakers and said that she should gradually break them in starting with one hour and increasing each day. Here’s a VIDEO of her first steps in a sneaker since the injury on November 9th.
VIDEO: Working her switch leap was the first thing she wanted to do when she got into her shoes…since she takes off and lands on her uninjured foot she was able to do it without a problem.
Although she still has a limp, she’s comfortable in the sneakers and so happy to be moving away from the boot. We’re looking forward to seeing her PT tomorrow.

On Christmas Day Mia Rose tried putting weight on her foot for the first time in 6 weeks…and amazingly it did not hurt at all. She was so happy…quite a wonderful Christmas gift. Over the next few days she was able to give up her crutches completely without any pain at all other than irritation to her shin from the top if the boot.


Despite the fact that she could not walk and needed to be sitting with her foot elevated most of the time to keep the pain under control, Mia Rose was back in the gym doing conditioning and some bars just 5 days after surgery. This 



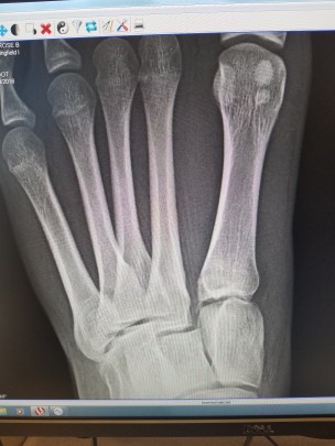
Mia Rose had sustained a lisfranc injury. She ordered a weight bearing x-ray, meaning that Mia Rose had to stand on her injured foot while they took the x-ray (not fun). Ten minutes later the doctor showed us the x-ray you see here and explained that it indicated an unstable lisfranc injury with a 2 mm separation and that surgery was required. She said that the lisfranc ligament was torn which was what allowed the bones to dislocate and that in order for the ligament to heal the bones had to be put back in perfect alignment and kept that way with screws. This was devastating news for Mia Rose who was getting ready to head into her competition season with the expectation of a great season.